Skip Menu
Continue
  • 30 Central Park South,
  • Suite 12D,
  • New York, NY 10019
  • Home
  • Meet the Doctor
    • Anne Marie Ferrara, DDS
  • Insurance Information
  • Cosmetic Dentistry
  • General Dentistry
  • Botox®
  • Contact

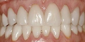
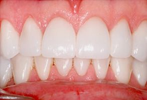
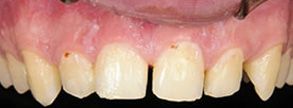
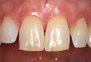
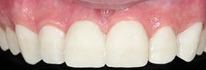
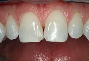
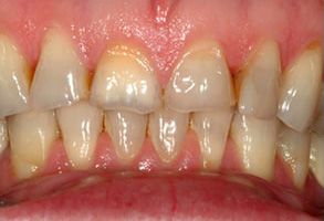
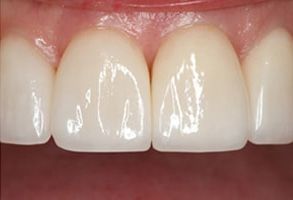
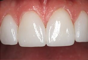
Smile Gallery

Our Location

30 Central Park South
Suite 12D
New York, NY 10019
(212) 702-9710

Follow Us